05:48|شنبه, آبان 24 ,1404
تاریخ انتشار: 11 دی 1398 - 08:11
کد خبر: 13622
دکتر بوتراب در گفت‌و‌گو با باریش عنوان کرد؛

بلیچینگ کم آسیب‌ترین روش‌ سفید کردن است

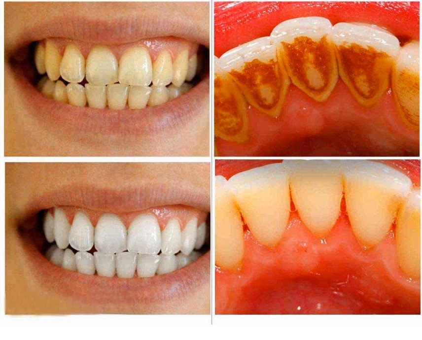
روش بلیچینگ دندان یکی از بهترین و کم آسیب‌ترین روش‌های سفید کردن دندان به شمار می‌رود.
بلیچینگ کم آسیب‌ترین روش‌ سفید کردن است

دکتر مینابوتراب، جراح دندانپزشک در گفت‌و‌گو با سرویس سلامت باریش نیوز، فاوت بلیچینگ و جرم‌گیری دندان هر دو روش جرم‌گیری و بلیچینگ دندان باعث روشن‌تر شدن دندان‌ها می‌شود ولی در هر کدام از این روش‌ها نوع و میزان سفید کردن دندان‌ها متفاوت است.

وی با بیان اینکه روش جرم‌گیری یا (اولتراسونیک) باعث پاک‌سازی دندانها از املاح رسوب کرده که باعث بوی بددهان، بدرنگی و زبری دندان‌ها می‌شود، اضافه کرد: بزاق دهان انسان به طور طبیعی با میکروب‌ها و مواد غذایی و باکتریهای دهان ترکیب شده و ایجاد لایه‌‌ای به نام پلاک بر روی دندان‌ها می‌کند.

این جراح دندانپزشک یادآور شد: اصولاً پلاک‌ها در قسمت‌های پایینی لثه و نواحی که دسترسی به آنها برای تمیزکردن دشوار است بیشتر می‌شوند که به مرور زمان باعث پوسیدگی دندان می‌شوند پس برای از بین بردن این پلاک‌های ایجاد شده بایدجرم‌گیری دندان انجام شود که طی این فرآیند پلاک‌ها و رسوباتی که در بین دندان و لثه‌ها ایجاد شده از بین می‌رود که همین امر گاهی سبب روشن‌تر شدن لثه و دندان افراد می‌شود.

بوتراب با بیان اینکه روش بلیچینگ دندان یکی از بهترین و کم آسیب‌ترین روش‌های سفید کردن دندان به شمار می‌رود، خاطرنشان‌کرد: بلیچینگ دندان در واقع راه درمان است برای از بین بردن لکه‌ها و رنگدانه‌های روی دندان که در اثر مرور زمان و به صورت ژنتیکی به وجود آمده این روش صرفاً برای زیبایی است و روش درمانی‌ای نیست.

وی ادامه داد: در روش جرم‌گیری دندان، جرم‌های روی دندان و لثه و رنگدانه‌های خارجی از روی دندانها برداشته می‌شود و اگر فردی در مصرف چای زیاده‌روی کند و یا سیگاری باشد و رنگدانه‌های ایجاد شده روی دندان وی زیاد باشد با انجام جرم‌گیری تفاوت چشم‌گیری ایجاد می‌شود.

این جراح دندانپزشک در ادامه یادآور شد: در انجام جرم‌گیری دندان رنگ خود دندان تغییری نمی‌کند یعنی روشنتر نمی‌شود بلکه فقط پلاک‌ها و رنگدانه‌های روی دندان برداشته می‌شود و در نهایت رنگ واقعی دندان نمایان می‌شود و در انجام بلیچینگ دندان ماده سفید‌کننده یا همان ماده بلیچ به داخل دندان فرد نفوذ کرده و رنگ واقعی دندان شخص را روشن‌تر می‌کند.

بوتراب با اشاره به اینکه علت تغییر رنگ دندان می‌تواند با کهولت سن باشد که به مرور زمان و ساییده شدن مینای دندان عاج دندان نمایان‌تر شده و دندان زردتر به نظر می‌رسد، خاطرنشان کرد: علت دیگر تغییر رنگ دندان‌ها نفوذ رنگدانه‌های داخل موادغذایی به دندانهاست که به مرور زمان سبب زرد شدن دندان‌ها می‌شود.

این مشاور دندانپزشک با بیان اینکه  فعال شدن اکسیژن موجود در ماده‌ی بلیچینگ  دندان باعث از بین رفتن رنگ‌های نفوذ کرده به دندان می‌شود، گفت:  بلچینگ دندان به دو روش کلی در خانه و در مطب انجام می‌شود، تصریح کرد: بلیچینگ  درمطب با سرعت بیشتری نسبت به بلیچینگ در خانه انجام می‌شود ولی بلیچینگ در خانه ماندگاری بالاتری دارد واگر در نهایت هر دو روش با هم انجام شوند بسیار بهتراست زیرا روش بلیچ در مطب شما را به هدف یعنی سفیدی دندان نزدیک می‌کند و روش بلیچ درخانه باعث سفید ماندن طولانی دندانها می‌شود.

نظر دهید

لطفا عدد مقابل را در جعبه متن وارد کنید